Dental Treatments & Services Thanisandra, Bangalore
Comprehensive dental care including general dentistry, cosmetic treatments, and advanced procedures—delivered by experienced dentists in North Bangalore.
Root Canal Treatment (RCT)
Root canal treatment helps save infected or severely damaged teeth and relieves tooth pain. Our clinic provides painless, pain-managed RCT procedures using modern methods to eliminate infection while preserving your natural tooth structure.
Advanced, pain-managed RCT procedures
Saves infected or damaged teeth
Performed using modern techniques
Dental Implants in Thanisandra
Dental implants are a permanent and reliable solution for replacing missing teeth. Dr Shetty’s Dental Care, we offer advanced dental implant treatments using modern techniques to restore chewing function, comfort, and a natural-looking smile for patients in Thanisandra, Bangalore.
Single & multiple tooth implants
Safe, long-lasting implant solutions
Precise planning with modern equipment
Braces & Clear Aligners for All Ages
-
Braces and clear aligners help correct misaligned teeth and bite issues. We offer orthodontic treatments suitable for children, teens, and adults, focusing on comfort, aesthetics, and long-term oral health improvement.
-
Metal, ceramic & clear aligners
-
For children, teens & adults
-
Improves alignment and bite issues
Tooth Extraction & Wisdom Tooth Removal
Tooth extraction may be required when a tooth is severely damaged or impacted. We perform painless tooth extractions and wisdom tooth removal using safe anesthesia techniques, ensuring minimal discomfort and proper post-treatment care.
Painless extractions with local anesthesia
Impacted wisdom tooth removal
Post-procedure care guidance
Teeth Cleaning & Whitening Treatments
Professional teeth cleaning and whitening help maintain oral hygiene and enhance your smile. Our treatments remove plaque, stains, and discoloration safely, improving both dental health and overall appearance.
Professional scaling & polishing
Safe teeth whitening procedures
Improves oral hygiene & smile appearance
Cosmetic Dentistry & Smile Design
Cosmetic dentistry focuses on improving the appearance of your smile through personalized treatments. We provide smile design solutions tailored to individual facial features and dental needs for natural and confident results.
Smile makeover solutions
Veneers, whitening & aesthetic corrections
Personalized treatment planning
Pediatric & Family Dental Care
We provide comprehensive dental care for children, adults, and seniors in a comfortable and friendly environment. Our pediatric and family dentistry services focus on prevention, early treatment, and long-term oral health.
Child-friendly dental treatments
Preventive care & cavity management
Dental care for all age groups
General Dental Consultation & Checkups
General dental consultations help identify oral health issues early and prevent complications. We offer thorough dental checkups for tooth pain, cavities, gum problems, and routine oral health maintenance.
Tooth pain, cavities, gum problems
Routine oral health checkups
Early diagnosis & preventive care
Emergency Dental Treatment
Dental emergencies require immediate attention to prevent further damage. We provide prompt emergency dental care for severe tooth pain, swelling, broken teeth, infections, and dental trauma.
Tooth pain, swelling, broken teeth
Dental infections & trauma
Immediate attention available
TMJ Disorder Treatment in Thanisandra
TMJ disorders can cause jaw pain, stiffness, headaches, clicking sounds, and difficulty in mouth opening. At Dr Shetty’s Dental Care, we provide accurate diagnosis and personalized TMJ disorder treatment to relieve pain and restore proper jaw function for patients in Thanisandra, Bangalore.
Jaw pain & stiffness management
Clicking or locking jaw treatment
Bite evaluation and correction
Non-surgical TMJ therapy options
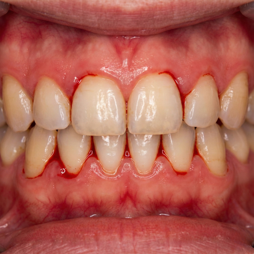
Gum Disease Treatment (Periodontal Care)
Gum disease, if left untreated, can lead to tooth loss and serious oral health problems. Our periodontal care focuses on treating gum infections, bleeding gums, and inflammation using advanced techniques to restore healthy gums and prevent further damage.
Treatment for bleeding and swollen gums
Deep cleaning and gum therapy
Prevention of tooth mobility and bone loss
Crown & Bridge Treatment
Dental crowns and bridges are used to restore damaged or missing teeth and improve chewing efficiency and appearance. At Dr Shetty’s Dental Care, we offer durable and natural-looking crowns and bridges tailored to your dental needs.
Tooth-colored ceramic crowns
Fixed bridges for missing teeth
Strength and aesthetics restoration
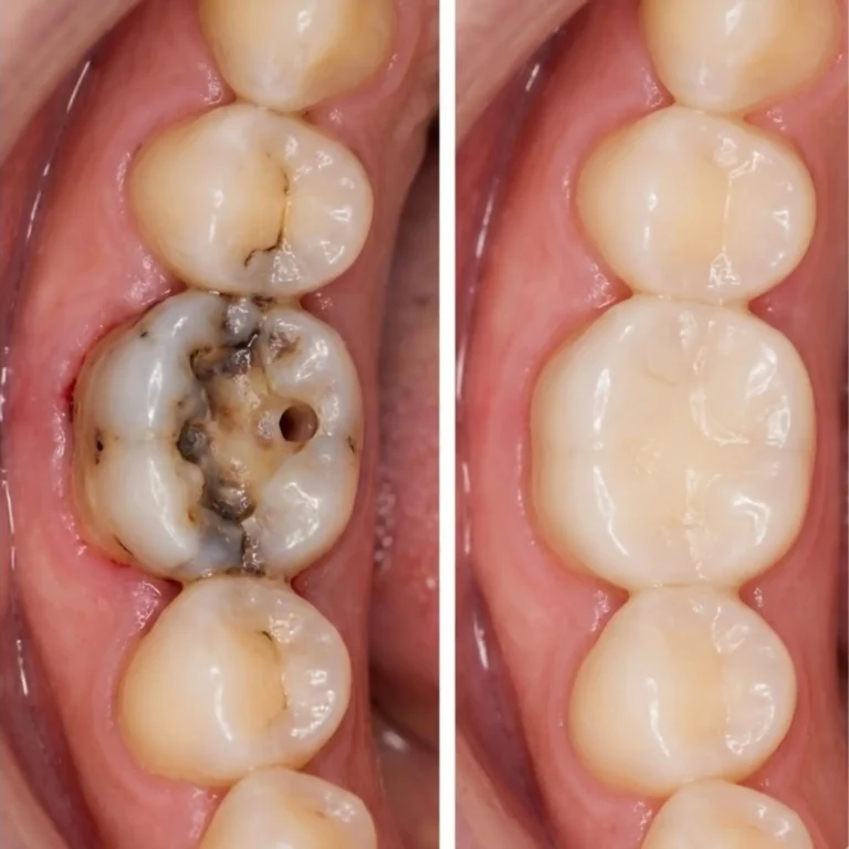
Dental Fillings (Cavity Treatment)
Dental fillings are used to treat cavities and restore tooth structure affected by decay. We provide painless cavity treatment using high-quality filling materials to ensure long-lasting protection and comfort.
Tooth-colored composite fillings
Early cavity detection and treatment
Pain-free procedures
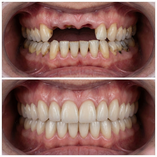
Full Mouth Rehabilitation
Full mouth rehabilitation is recommended for patients with multiple dental issues such as missing teeth, worn enamel, or bite problems. Our comprehensive treatment approach restores oral health, function, and aesthetics through a customized treatment plan.
Complete smile and bite restoration
Combination of multiple dental treatments
Personalized treatment planning
Dentures (Complete & Partial)
Dentures help replace missing teeth and restore normal speech, chewing, and facial appearance. We offer comfortable and well-fitting complete and partial dentures designed for daily comfort and confidence.
Complete dentures for full tooth loss
Partial dentures for missing teeth
Improved chewing and facial support
Gum Bleeding & Bad Breath Treatment
Persistent gum bleeding and bad breath are often signs of underlying dental issues. Our clinic provides targeted treatment to address the root cause and restore healthy gums and fresh breath.
Treatment for chronic bad breath
Gum infection management
Oral hygiene guidance
Preventive Dentistry & Dental Checkups
Preventive dentistry focuses on maintaining oral health and preventing dental problems before they start. Regular dental checkups help detect issues early and reduce the need for complex treatments.
Routine dental examinations
Professional cleaning and polishing
Oral health education
Dental X-Ray & Diagnosis
Accurate diagnosis is key to effective dental treatment. We use modern dental X-ray technology to detect hidden dental problems and plan precise treatments safely and efficiently.
Digital dental X-rays
Early detection of dental issues
Safe and low-radiation imaging
Post-Treatment Dental Care & Follow-ups
Post-treatment care is essential for long-term success of dental procedures. We provide detailed aftercare instructions and follow-up appointments to ensure proper healing and lasting results.
Bullet Highlights:
Post-procedure monitoring
Oral care guidance
Long-term treatment success
